Answer to Mid-Month Mindbender June 2013

Rajalakshmi T, Inchara YK

Muir Torre syndrome

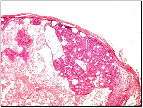
Muir-Torre syndrome is an autosomal dominant disease characterised by multiple sebaceous carcinomas and visceral malignancies, particularly colonic carcinoma. The sebaceous carcinomas in such patients show cystic change, and this is deemed to be a virtually diagnostic feature (see figure below). It is important to recognise this disease, as it has implications for genetic testing and screening of family members.
Early sebaceous carcinoma has the potential to be misdiagnosed as “sebaceous adenoma”. Attention to cytologic atypia, mitoses, crowding of cells and increase in thickness of the mantle of immature sebocytes at the periphery of the nests helps in arriving at the right diagnosis.

cystic sebaceous carcinoma

Cystic sebaceous carcinoma