Answer to Mid-Month Mindbender March 2013

Rajalakshmi T, Inchara YK

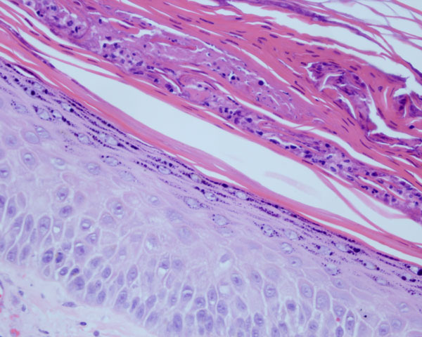
Dermatophytosis

Sandwich sign refers to the presence of two different types of keratinisation in the stratum corneum, one beneath the other, in a parallel manner. Usually, there is an upper zone of orthokeratosis with underlying parakeratosis.
This is a clue to the presence of a dermatophyte and should prompt a careful search. PAS stain is mandatory. The fungal hyphae are commonly found in the orthokeratotic area, as the parakeratosis would imply a rapid turnover and hostile soil for its growth.
In addition, there may often be neutrophils in the parakeratotic area, mimicking psoriasis. The two are often indistinguishable and fungal stains should be employed in all cases that show this histology.

prp