Answer to Mid-Month Mindbender May 2013
Rajalakshmi T, Inchara YK
Merkel cell carcinoma
Merkel cell carcinoma/primary cutaneous neuroendocrine carcinoma is a rare, rapidly growing, aggressive neoplasm common in the elderly. Histologically, the cells resemble those of small cell carcinoma, with scant cytoplasm, stippled nuclear chromatin and a high mitotic rate. Larger cells may be seen.
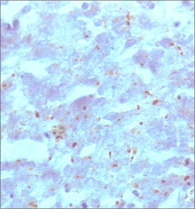
Immunohistochemical staining with cytokeratin 20 demonstrates a paranuclear dot pattern (see figure below), which is characteristic. They also express other neuroendocrine markers such as chromogranin, synaptophysin and CD56. In contrast to small cell carcinomas of pulmonary origin, they are negative for cytokeratin 7 and TTF-1.

Merkel cell carcinoma stained with CK 20
